Is Harmful Black Mold a HOAX? Let's Check Out the Studies
Here's the Best "Evidence" of Stachybotrys Chartarum (aka Black Mold) Causing Health Problems...
Here we go again…
Want to listen to this 15-minute article instead of read? Here you go:
This article wasn’t on my short term to-do list, but when my sister-in-law informed me that my brother was about to spend $12,000 to have their home ripped to shreds to remove black mold (Stachybotrys chartarum), this article took precedence over everything else. You see, my sister-in-law began having problems breathing and, after months of assorted lab tests and various pharmaceutical prescriptions, including an inhaler, on advice from strangers on the internet, my brother cut a small hole in the wall in their bedroom and found the culprit; the dreaded black mold. For the next week, the two of them stayed in a Holiday Inn while they tried to figure out what to do.
My brother got two estimates for black mold remediation; both companies stated he must have his drywall and insulation removed, a massive job at a hefty price. Both companies also tried to sell him on an HVAC system remediation, which would add an additional $6,000 to the cost. He then looked into borrowing from his retirement fund to afford it all.
I expressed to him that the issue causing the breathing troubles could be a great many things; diet, other medications, the handful of supplements the wife takes, the weight loss shot she recently started, the candles she loves to burn, new laundry detergent, even stress, to name a few - don’t jump the gun until you first rule out other causes. I then went on to say, I have been highly skeptical of the claim that black mold, or any mold for that matter, is harmful.
The reason for my skepticism is, a few years back, I briefly searched for studies proving this mold was bad, but couldn’t easily locate any. This time around, in my rush to find documents, I asked ChatGPT to provide the top sources proving black mold causes harm, and ChatGPT came through for me. Now I just needed to tediously read them…
Would you be surprised to learn that the term “black mold” rarely ever appeared in the newspapers between the years 1800 - 1900? The state that had the most black mold content was Kansas, and the phrase only appeared 379 times over 100 years!
Then, as you can see from the highlighted area above, the term had a small spike in 1873 and another in 1878. After 1878, it began gaining in popularity, but was still an unpopular topic. Although there were two spikes, interestingly, up until the early 1900s, black mold was a great thing - it was part of the soil; compost.
The influx of articles in 1873 and 1878 praised black mold. Then came the early 1900s, the exact same time Big Pharma was really beginning to take off due to germ theory and virus theory. It was at this time the news slowly began reporting black mold isn’t just bad, the stuff will kill you if you eat it.
And the mockingbird media, which by this time was almost entirely controlled by Freemasons, Jews, Judeo-Masons, and elites, did its thing and parroted the identical information throughout the country.
Other papers, perhaps the few that were not controlled propaganda, still promoted black mold as a good, harmless thing that was no different from any other harmless mold. Surprisingly, it would take all the way until the 2000s for black mold to become a terrifying health hazard - this makes sense because, as a kid of the 1980s, a lot of us had bedrooms or play areas in the basement, most of us with unfinished basements, and many of us with mold due to moisture. At no point was it a health concern; it was just part of having a basement in a surrounded-by-water, high-humidity state, Michigan. But come the 2000s, black mold was wreaking havoc on Americans. The news ran tales of illnesses suffered by schoolchildren - illnesses so severe that schools were forced to close and renovate.
By 2003, black mold was officially a “nightmare” that a homeowner must “catch early”.
Come 2018, it was out to murder families.
I will dive more into the Black Mold House Psyop later in this series, so jump on the Untold Truth Train (sometimes called the WTF Train or the You Have Got to be Kidding Me Train:)
So, for all of history, until two decades ago, nobody seemed to have a problem with black mold; now it’s a bigger killer than Samuel Little and John Wayne Gacy combined. Wanna learn how this was determined? Remember, these studies we are about to discuss are the best evidence of black mold being harmful, per ChatGPT.
If you were going to prove black mold was destructive to health, how would you go about it? To make it match my brother’s situation, I would have to create a custom mouse tank in which the mold is on insulation inside of the walls and ceiling. I would learn how to get black mold to naturally grow on the insulation, then simply put healthy mice into a cage containing the wall-mold and see if they fall ill, but what do I know? I’m not a scientist…
THE 2005 STUDY
The first study ChatGPT referred me to was Intranasal Exposure to Stachybotrys chartarum Enhances Airway Inflammation in Allergic Mice. This study began with the assumption that “Exposure to building dampness, often associated with growth of microbes such as Stachybotrys chartarum, has been linked to respiratory symptoms”.
In this experiment, a chemical concoction containing phosphate-buffered saline emulsified in alum [aluminum / sulfate] was forced down the noses and throats of the mice. Lab-grown mold spores were aerosolized and the mice were forced to inhale them using a ultrasonic nebulizer:
The mice were then killed, a blood sample was collected and their tiny bodies chopped up for Science. To cut to the chase (pun intended): it would take dying samples from the lungs, embedding the lungs in paraffin [wax], then inspecting the stained cells to determine the mice didn’t like the aerosolized mold they were forced to inhale - no mention of the chemicals shoved down their throats. Being that my sister-in-law is not huffing lab-produced mold spores through a tube or being dissected and examined under a microscope, this study does not remotely reflect a real-life situation and is therefore useless.
THE 2006 STUDY
The 2006 study was called Satratoxin G from the Black Mold Stachybotrys chartarum Evokes Olfactory Sensory Neuron Loss and Inflammation in the Murine Nose and Brain. The official summary claims the black mold “caused neuronal damage and inflammation in mice”. Now let’s check out how this was conducted:
They deployed an “intranasal instillation model” in mice. This means they anesthetized the mice via injection, strapped them to boards…
…then forced what they are calling “SG and isosatratoxin F” into their noses and throats.
Once that had been accomplished, they slit the abdominal aorta of the living mice to kill them, chopped off their heads, removed the lower jaw, skin, muscles, eyes, and dorsal cranium while keeping the head with the brain intact. This was then immersed and stored in a large volume of chemicals for at least two days. The lungs were also cut out and stored. Long story short, everything was then chopped to bits and examined closely for “lesions”. We have discussed “lesions” before, but in case you missed those articles, let me share it again: lesions are any abnormality Science locates inside of the dead (or sometimes living) animal. This means after they torture it and put substances into it unnaturally, they play around in its innards looking for signs of swelling, odd-looking cells, fluid buildup, mucus, anything. When they find these things, they don’t blame their actions; they blame a virus, bacteria, or, in this case, black mold. They run PCR tests on the dead animal, mix its blood with assorted chemicals to test for various reactions, then declare all of this means the thing they are trying to prove is harmful to health is indeed harmful - and that is exactly what happened in this “study”, which, as you can see, is a pile of junk because it in no way resembles a human in a room with some black mold on the wall.
THE 2019 STUDY
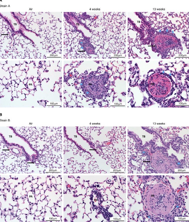
The third study ChatGPT provided me with as the best evidence of black mold being harmful to health was from the American Journal of Respiratory Cell and Molecular Biology (2019), called Inhalation of Stachybotrys chartarum Fragments Induces Pulmonary Arterial Remodeling. In this experiment, two strains of mold were created in a lab and then aerosolized. Mice were then forced to inhale the aerosols and continued to inhale until a “lymphoproliferative response” [rapid multiplication of white blood cells] was achieved (because they assumed multiplication of white blood cells meant an infection due to toxicity from the mold). Mice were exposed twice per week for 4 or 13 weeks. At the end of the experiment, they were slaughtered and chopped to bits. Their cells were dyed using “fluorochrome-conjugated antibodies” [chemical compound]. Scientists then stared at assorted dyed samples from the dead animals while running them through machines and performing a variety of chemical tests.
They ended up with a bunch of lab gibberish…
… from which they determined the “study showed that repeated exposure to S. chartarum results in inflammation and pulmonary arterial remodeling”. Yet again, we do not have a study featuring normal conditions in which a human or animal would come in contact with black mold… and this was everything ChatGPT located as the best proof that black mold causes harm.
On my own, I embarked on finding more studies, and here’s what I came across:
MY FINDINGS
There are tons of papers, websites, podcasts, and television shows that claim this mold is the cause of health “conditions” such as asthma…
… but if you take the time to read or watch them, there is no evidentiary basis for these claims. In fact, actual evidence is almost never included.
A doctor or scientist saying something is true doesn’t make it true without evidence. Therefore, anything without evidence is to be discounted as opinion.
I would come to discover the reason I have had so much trouble locating studies is because nobody could seem to locate many studies, but lets check out what I found:
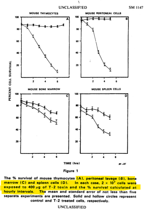
THE DEPARTMENT OF DEFENSE STUDY (1983)
Back in 1983, the wonderful US military wanted to find out just how toxic Trichothecene was. Trichothecene, they claim, is what black mold can produce - you know, the stuff that makes it so destructive to our health. Their studies went like this:
Start with chemicals (Eagle’s modified media), mix it with penicillin and lab-made black mold. Put that stuff into Styrofoam tubes to “incubate”.
Grab a male mouse - only males were used for this experiment - and force him to huff carbon dioxide while his lungs are being “flooded” with a solution made mostly of hugely toxic methanol (70%).
When he dies, scrape out cells from his spleen, bone marrow and stomach and mix them with a bunch of chemicals and garbage.
Have Merck provide what is being called “Trichothecene” (the stuff black mold allegedly produces) and blend it with DMSO (toxic byproduct waste peddled as “medicine”).
Now, determine how toxic “the mold” is by seeing how many mouse cells can live in this nightmare elixir. As you can see from their data below, within six hours, most of the cells had died; therefore, they concluded black mold can be incredibly toxic.
We must ponder why couldn’t they just put the mice in a tank containing the mold?
THE 1986 STUDIES
In 1986, the US military continued their studies; this time around, they wanted to investigate Diacetoxyscirpenol (DAS), which they claimed was a different toxic substance produced by fungi. Their “studies” involved using a machine to spin a mixture of lab-made mold, urine, and more highly toxic hexane (they love that stuff):
To that, they added methanol, known scientifically as “MeOH”, and Amberlite, which is this:
It was reduced to being highly concentrated. They then used Sep-Pak kits to extract some of their potion:
The highly concentrated hexane-methanol-mold-urine concoction was then attached to a shaved rat so it could absorb through the skin without being removed.
It turned out that the lab-made shit they put on the tiny creature was toxic enough to kill 50% of the creatures within days, but the other half lived. They then made the shaved patch area even larger so the dose of poison would be two-and-a-half times greater. But even with the huge area of application, they still couldn’t kill all of the mice. Given that so many died, they claimed this proved fungi also excrete a deadly substance, and some mice are “immune” to it.
In a second experiment, they applied their toxins to rats for seven consecutive days while examining the animals’ urine and feces. They then murdered the tiny creatures and chopped out their organs and, like serial killer Ed Gein, saved the skin. They claimed their goal was to measure “radioactivity”, which they stated they successfully located in relatively high levels in the organs and carcass. It was now official: a toxic substance produced by fungi can permeate the entire body of an “infected” individual.
In another of their experiments, they injected their poisons directly into the stomach lining of a helpless creature. They labeled the mouse’s reaction to the injected fungi-witches brew as being “more severe” than when it was attached to the back of a rat. Who would have thought?
In 2002, Dr. O. Edwin McClusky (former U.S. Air Force Major, Chief of Medicine at Sheppard Air Force Base) was asked by the Texas Medical Association to look into the issue of black mold toxicity because there were many insurance claims related to necessary renovations due to mold infestation and disease caused by inhalation. McClusky researched and compiled his findings in an email. This email outlined his concern regarding the lack of legitimate black mold studies - and when I say “lack of”, I mean there were none that he could locate. The studies he found weren't really “studies”; they were nothing more than confirmation bias. The so-called “studies” refused to consider chemicals, diet, or other factors that could (and do) produce the identical symptoms that were being attributed to mold.
What McClusky discovered was that, when patients presented conditions that were deemed to be related to mold, only 35% of the time did the patient take any of the recommended steps to change their living conditions. This meant only one out of three patients would perform potential remedies such as washing bedding, removing dust mites and pet dander, purchasing a dehumidifier or cleaning the existing dehumidifier, repairing leaky basements, partaking in general cleanliness, etc. Being that the majority of patients were completely uncooperative, there was no way to rule out other factors and reach a legitimate conclusion regarding their health ailments.
In 2010, researchers Douglas B. Trout and Elena H. Page attempted to locate studies. They wrote, “A search of NIOSHTIC (a literature database maintained by the National Institute for Occupational Safety and Health) and MEDLINE (from 1965 to present) for literature related to fungi, mycotoxins, and the indoor environment was conducted. References from relevant articles were also reviewed. This strategy yielded a total of 13 articles”. Yep, they only located a whopping 13 total studies conducted over 45 years - no wonder it was so difficult for other researchers to find this content.
Miller et al. examined 50 Canadian homes in which occupants complained of respiratory or allergic symptoms for which, just like my sister-in-law, there seemed to be no explanation. When the houses were examined, black mold could only be found in one. To make the issue even more interesting, you know the old saying “open the window and get some fresh air?” - Miller discovered, during the summer, when windows were open, there was the same amount of mold spores inside buildings as were outside buildings. Our entire lives, we have been breathing the fresh summer air, secretly filled with invisible mold spores, and we never knew it! Yet when we visually see mold in our homes, we panic.
Miller also came to learn that many of the studies that claimed black mold is a toxin were conducted via questionnaires and nothing more. People self-reported their health problems and living conditions, often minimizing or excluding smoking cigarettes, medications, or preexisting conditions, and everyone operated under the assumption that the mold was to blame.
Now that we know there is no legitimate evidence to support the claim that black mold causes health issues, the next question that must be answered is “Then why was my sister-in-law able to breathe well when staying at the Holiday Inn?”.
NEXT READ: FARM DISEASE - THE TRUTH ABOUT TOXIC MOLD (Nothing is as we have been told)
But first - keep me writing! Hook me up with a Coffee or become a paid sub for $5 a month or $50 a year. I am working with my friend
on a huge project together, and it requires funding. More details coming in Part 2 of this series - trust me, you’ll like it!NEXT READ
FARM DISEASE: The TRUTH About Toxic Mold - Nothing is as We've Been Told [Part 2]
“…Mysterious maladies swept the flocks of chickens; the cattle and sheep sickened and died. Everywhere was a shadow of death. The farmers spoke of much illness among their families. In the town the doctors had become more and more puzzled by new kinds of sickness appearing among their patients. There had been several sudden and unexplained deaths, not …
The CHICKENPOX Contagion Experiments: How Pox & Herpes were Determined to be Contagious
Up until the early 1900s, it was assumed chickenpox came from birds, hence its name.
,
The Mystery Post Offices: Mindf*ck Monday Episode 5
Welcome to my fifth installment of Mindf*ck Monday, a series which will bend your mind so far that it just might break; a series in which I’ll tell you a whole bunch of information which may seem unrelated until the final paragraph when I tie it all together. And for reasons I don’t have, it has never been published on a Monday. So throw on some Marvi…
The Unbelievable & Illogical Story of the COLUMBIAN EXPOSITION (Chicago World’s Fair 1893) Part 1
The story about the Columbian Exposition (aka Chicago World’s Fair of 1893) is this: It had been only 20 years since the GREAT Fire leveled the city and they (meaning the fair people) wanted to host an event. They chose an undeveloped swamp area in Chicago
My V2K Story: Hearing Music That Isn't There 🎶Gov Sponsored Audio Hallucinations [PART 1]
In 2024 I wrote an article about the worldwide phenomenon of waking up at 3am and uncovered the culprit; terrifying audio being blasted into our rooms between 1-4am using ultra low frequency (ELF); frequency so low that our ears can not hear it but our minds can. This series, My V2K Story, was supposed to publish immediately after that one, but I got cold feet. Why? I guess I didn’t want to be judged. If you read
They Tried to Scrub it: The 9/11 DRILL - The Strange Story You Probably Haven't Heard
They tried to delete it…
They're MAKING FAKE STARS! Guess Who Owns the Patent?
Today we are going to run through a list of things in the sky that we know are fake.

























![FARM DISEASE: The TRUTH About Toxic Mold - Nothing is as We've Been Told [Part 2]](https://substackcdn.com/image/fetch/$s_!YcLa!,w_1300,h_650,c_fill,f_auto,q_auto:good,fl_progressive:steep,g_auto/https%3A%2F%2Fsubstack-post-media.s3.amazonaws.com%2Fpublic%2Fimages%2Fdb371a2a-9d35-4dc1-80b7-d9bed659969c_1072x775.png)



![My V2K Story: Hearing Music That Isn't There 🎶Gov Sponsored Audio Hallucinations [PART 1]](https://substackcdn.com/image/fetch/$s_!MYMV!,w_1300,h_650,c_fill,f_auto,q_auto:good,fl_progressive:steep,g_auto/https%3A%2F%2Fsubstack-post-media.s3.amazonaws.com%2Fpublic%2Fimages%2F670dcd93-f708-44d5-b6cf-db56ae60fd1c_1456x1048.png)


Looks like the most dangerous thing about 'black mold' is that if you're a rat, you might be tortured and mutilated by a "scientist".
Here is another thing the mold alarmists failed to understand. Yes, mold will show up to remediate if the home has some chronically damp conditions. It is however, obviously not the cause of the damp conditions. Often these conditions can lead to rotting materials. Modern housing materials are often very toxic (treated wood, drywall/sheetrock, insulation (all many many chemicals))....so this shit will off gas when it is decomposing. So fix the leak in your roof. If you see mold you likely have a moisture issue.
When ever you see a villain becoming popular... virus, bacteria, fungus...it's usually a cover story for more poisoning.
i dont know how everyone is not going as ape shit ragey crazy as me over this CHOKE YOU OUT INTENSE ARTIFICIAL FRAGRANCE OF LAUNDRY DETERGENT/DRYER SHEETS/FABRIC SOFTENER/CLEANERS/AIR "FRESHENERS" THAT IS LITERALLY ALL I SMELL EVERYWHERE I GO 🤬🤬🤬 it is soooooooooooooo toxic, everything i order online WREAKS of it, i have to ozonate any new clothes like 3 times, i have to ozonate ALL OF MY EXPENSIVE ASS ORGANIC PRODUCE BECAUSE IT WREAKS LIKE THIS SHIT, my husband gets back from the grocery store and i smell it all over his face, especially around his mouth like its just drawn to his breath - INTENTIONALLY!!!!!! this shit is EVERYWHERE!!!!!!!! i cant even walk outside in my neighborhood anymore because if someone is doing laundry, I CANT BREATHE 😵😵😵😵 i 100% blame your sis in laws NASTY CHOICE OF LAUNDRY POISON on all of her probelms!!!!!! this is an INTENTIONAL EPIDEMIC, TURN UP THE POISON, TURN UP THE TOXICITY LEVEL OF THE ARTIFICIAL FRAGRANCES IN EVERY CLEANING PRODUCT IN AMERICA, THIS WILL SURELY DO THE TRICK 👹👹👹 i cant even stand and have a conversation with people anymore because they WREAK of it or hug someone because then its ALL OVER ME AND NO ONE IS TALKING ABOUT THIS!!!!!!!!!!!!!! am i the ONLY ONE who notices this UPTICK IN CONCENTRATION?!?! i swear the corporations were told by the owners of the corps - you know who that is - to TURN UP THE TOXICITY!!!!!!! who knew the future would FUCKING STINK THIS BAD 🤬🤬🤬😤😤😤 tell her to switch to UNSCENTED EVERRYTHING AND USE WHITE VINEGAR FOR FABRIC SOFTENER IT WORKS JUST AS WELL AND MAKES MY TOWELS SOFT AND FLUFFY WITHOUT THE SIDE OF CANCER!!!!!!!!!!